Computing Significant Research Projects

Research Projects from the Department of Computing

Primary page content

Games and graphics

Angelina

Developing an artificial intelligence that can automatically design videogames. EPSRC-funded. Michael Cook, Simon Colton and Jeremy Gow. Games by Angelina website

RapidMix

Technology transfer consortium developing innovative interface products for music, gaming, and e-Health applications. EU-funded project led by Atau Tanaka, Mick Grierson and Rebecca Fiebrink. Rapid Mix website

BioBlox

A multimedia interactive platform/game combining 3D and 2D visualisations of molecules. Frederic F. Leymarie, William Latham working with BBSRC Unity, Havok Intel, Swrve and Imperial College. BioBox website.

ProGen

Procedural city generation and architecture. Working with Innovate UK, Rebellion Studios and UCL Computer Science Department. ProGen website.

Centre for Doctoral Training in Intelligent Games & Game Intelligence

A four year EPSRC-funded PhD programme training the next generation of researchers in digital games research, in collaboration with York and Essex Universities and over 50 games companies. Atau Tanaka, Jeremy Gow, William Latham, Simon Colton. IGGI website

Human Interactive conference

International conference focussed on man/machine interaction. W.Latham and F. F. Leymarie. Human Interactive website.

FoldSynth

Contact map mapping of protein structures. Frederic F. Leymarie, W.Latham, S.Todd and P.Todd, with Imperial College and Oxford University. FoldSynth website

Mutator 1 & 2

Procedural art and exhibition. W.Latham, S.Todd, F. F. Leymarie, P.Todd with the Development Arts Council. Mutator website

Digital Cultural Heritage

Data capture, such as laser scanning of archaeological sites and artefacts, and visualisations and simulations of past environments. Kate Devlin and Frederic Fol Leymarie.

 

Human-computer interaction

Better than Life

A collaboration with interactive theatre company Coney, to create an interactive performance that is streamed live online and which online audiences can interact with the physical show. This project is funded by the Nesta R&D fund for the arts Marco Gillies Better Than Life website

Enabling Audiovisual User Interfaces

The project investigates how human-computer interactions can be audiovisualized in order to improve user experience and usability. AVUI links interaction, sound and image, building upon the concept of Graphical User Interface by adding interconnected sound and image. Atau Tanaka. 

Sound, Image and Brain

This project takes research in brain-computer interfaces, audio-visualisation, participation and gaming, and develops it in partnership with industry and public organisations. AHRC-funded project with Mick Grierson, Roll7 and Soundandmusic. 

Design Patterns for Inclusive Collaboration

This project examines how people (particularly those with sensory impairments) combine & map information from one sense to another, to inform the design of technology to improve social and workplace inclusion. Atau Tanaka. 

RAPID-MIX

A technology transfer consortium developing innovative interface products for music, gaming, and e-Health applications. EU-funded project led by Atau Tanaka, Mick Grierson and Rebecca Fiebrink. RAPID-MIX website

Machine Learning as Design Tool

By enabling people to instantiate designs of new musical instruments, game controllers, character animations, and other systems from data, rather than by writing code, we make design more efficient and accessible to more people, as well as enabling people to discover new design possibilities. Several research threads in the department link into this theme of making machine learning usable, creative tool. Rebecca Fiebrink, Marco Gillies, Atau Tanaka and Mick Grierson.

Human Interactive

International conference focussed on man/machine interaction. W.Latham, F. F. Leymarie. Human Interactive website

Augmenting Physical Spaces with Digital Information

This project explores the use of location-based services, innovative geo-tagging and geo-links to augment physical locations with digital information. James Ohene-Djan working with Department of EscolaPolitecnica, University de Sao Paulo, Brizal and WinkBall.

Optimising mobile device interaction

Mobile interaction design and techniques with an emphasis on enhancing one-handed interaction using either back-of-device gestures or adapted interfaces. Kate Devlin and Karsten Seipp. 

The Digital Fauvel

A research project exploring human-computer interaction in the digital humanities, The Digital Fauvel is a new digital platform for the 14th century multimedia manuscript Roman de Fauvel. Formerly funded by David A. Gardner ‘69 Magic Project in the Humanities, USA Rebecca Fiebrink Yale University, Princeton University. Digital Fauvel website

  • Zayaruznaya, A., and R. Fiebrink. “Reimagining the facsimile: Project report on The Digital Fauvel” Early Music 42(4): 599-604. November 2014.

Centre for Doctoral Training in Intelligent Games and Game Intelligence

A four year EPSRC-funded PhD programme training the next generation of researchers in digital games research, in collaboration with York and Essex Universities and over 50 games companies. Atau Tanaka, Jeremy Gow, William Latham, Simon Colton. IGGI website

Soundlab

SoundLab aims to find simple and effective ways to help people with learning disabilities to express themselves musically and collaborate with other people using both readily available musical technologies and also cutting edge research in interface design and machine learning. NESTA/ACE/AHRC-funded project led by Mick Grierson and Simon Katan working with Heart n Soul. 

Latency-Free Real-time Internet Collaboration

This project employs pattern recognition and overlay networks to predict human actions before they occur and send them efficiently over the Internet to a remote collaborator. This allows latency-free collaboration for time-sensitive applications such as music performance, even over very long distances. Rebecca Fiebrink, previously supported by the Project X Fund, Princeton.

  • VIDEO: MalLo: A Predictive Percussion Instrument For Internet Performance website
  • Zeyu Jin, Reid Oda, Adam Finkelstein, Rebecca Fiebrink. 2015. MalLo: A Distributed, Synchronized Instrumentfor Internet Music Performance. Proceedings of the 15th International Conference on New Interfaces for Musical Expression (NIME).
  • Oda, R., A. Finkelstein, and R. Fiebrink. “Towards note-level prediction for networked music performance.” Proceedings of New Interfaces for Musical Expression (NIME), Daejeon, South Korea, May 27–30, 2013.

Digital cultural heritage

Data capture, such as laser scanning of archaeological sites and artefacts, and visualisations and simulations of past environments. Kate Devlin and Frederic Fol Leymarie.

Music and art computing

Transforming Musicology

This project explores how emerging technologies for working with music as sound & score can transform the theory and practice of musicology. Tim Crawford, David Lewis, Christophe Rhodes. Transforming Musicology website

Rapid Mix

A technology transfer consortium developing innovative interface products for music, gaming, and e-Health applications. EU-funded project led by Atau Tanaka, Mick Grierson and Rebecca Fiebrink. RAPID-MIX website

The Digital Fauvel

A research project exploring human-computer interaction in the digital humanities, The Digital Fauvel is a digital platform for the 14th century multimedia manuscript Roman de Fauvel. Formerly funded by David A. Gardner ‘69 Magic Project in the Humanities, USA. Rebecca Fiebrink. Digital Fauvel website

PRAISE: Practice and PeRformance Analysis Inspiring Social Education

A social network tool which aims to widen access to music education and make learning music more accessible and more social. EU Mark d’Inverno, Matthew Yee King, Marco Gillies. 

SoundLab

SoundLab aims to find simple and effective ways to help people with learning disabilities to express themselves musically and collaborate with other people using both readily available musical technologies and also cutting edge research in interface design and machine learning. NESTA/ACE/AHRC-funded project with Mick Grierson, Simon Katan and Heart n Soul.

Modelling Psychoses

Part of the larger Posthumanist Desire exhibition at Taipei Museum of Contemporary Art. An installation of couture garments, photographs, new font, animated text and video installations, developed from discussions with forensic psychologists, expert witnesses and detectives from sex crimes units. 

cREATE: Centre for Copyright and New Business Models in the Creative Economy

The Whose Book Is It Anyway? project looks at Intellectual Property, collaborative business models and questions of ethics and creativity in digital publishing. Dr Sarah Kember, Prof Janis Jefferies. e

Creative Machine exhibition

Research in the twilight world of AI, Robotics and Art. Arts Council-funded exhibition curated by W. Latham, F.F. Leymarie, Atau Tanaka. Creative Machine website

Neuro Memento Mori

The exploration of brain activity during the contemplation of memento mori artworks and death. Jane Prophet with Research Grants Council, City University Hong Kong, Aarhus Univeristy, Denmark, New York University. Neuro Memento Mori website

The WhatIf Machine (WHIM)

A software system able to invent, evaluate and present fictional ideas such as stories, jokes, films, paintings and advertisements. EC FP7 Simon Colton, Jeremy Gow University of Cambridge; University College, Dublin; Institute Jožef Stefan, Ljubljana; Universidade Complutense de Madrid WHIM project website

Mutator

Procedural art and exhibition. W.Latham, S.Todd, F. F. Leymarie, P.Todd with the Development Arts Council. Mutator website

Where Am I?

Collaboration with choreographer Marguerite Galizia to develop a tracking system and dance work based on Daniel Denett's "Where Am I?" Arts Council-funded project with Simon Katan. Where Am I? on Vimeo

Music Complexity

The measurement of music using ideas from information and complexity theory.

  • Tim Blackwell, De Fleurian R. Ben-Tal O, Mullensiefen D, Blackwell T. 'Comparing Perceptual and Computational Complexity for Short Rhythmic Patterns'. In Procedia - Social and Behavioural Sciences. Vol 126, pp 111-112.

Fear of Flight

Surround audiovisual multimedia production for aerialist and dance ensemble integrating computer visition based motion-tracking, real-time sound and video with pre-rendered media. Freida Abtan working with Fonds Quebec Recherche sur la Societe et la Culture.

iMonsoon

Real-time media simulation system for modeling low-level climate behavior. Freida Abtan with Arizona State University, USA

A photo of dark clouds and a rainstorm

Audiovisual work for two ensembles with custom controllers and real time visual scenography. Freida Abtan and Patricia Aless

Orpheus Machine I

Piece for two early music keyboard instruments, custom electronics and software. Freida Abtan with Patricia Alessandrini (Music) and New York University. Orpheus in the Underworld website

Lives of Narratives, Narratives of Lives

Narratives from literature, social media narratives; and contemporary narratives of our digital society and of the Internet of Things. Prof Fionn Murtagh Lives of Narratives website

Better Than Life

A collaboration with interactive theatre company Coney, to create an interactive performance that is streamed live online and which online audiences can interact with the physical show. This project is funded by the Nesta R&D fund for the arts. Marco Gillies. Better than Life website

Aikon

Art, perception, computing and robotics. Led by Frederic F. Leymarie, P. Tresset with funding from the Leverhulme Trust. Aikon website

Creativeworks London

Bringing collaborative research opportunities to London’s creative businesses, and co-creating new ways to do creative research. AHRC-funded project with Mark d’Inverno, Janis Jefferies and Dan McQuillan. Creativeworks London website

AutoGraff

Graffiti, perception, computing and robotics EPSRC/IGGI Frederic F. Leymarie, W. Latham, D. Berio IDIAP (Switzerland) AutoGraff website

Ubiquitous Computing and Artificial Life

Practical and theoretical research into ways ubiquitous computing can produce playful apps and objects that enable users to have a blended online and offline relationship with artificial life forms. Includes works in agmented reality and 3D printing. Jane Prophet, City University, Hong Kong. School of Geography, Queen Mary, University of London.

  • SIGCHI 2015 Paper: Prophet, Jane and Pritchard, Helen, 'SE Asian Ubicomp and ALife: Roaming and Homing with TechnoSphere 2.0 Computational Companions'. In CHI15 Extended Abstracts on Between the Lines: Reevaluating the Online/Offline Binary. ACM, 2015.
  • Chapter in book: Prophet, Jane and Pritchard, Helen, 'Ubiquitous-ALife in TechnoSphere 2.0: the design, individuation and entanglement of ubicomp apps in urban South East Asia'. In Ubiquitous Computing, Complexity, and Culture. Routledge: New York 2015

Live Algorithms

Live Algorithms are, or will become, autonomous digital improvisers. Tim Blackwell.

  • Young M. and Blackwell T. 'Live Algorithms for Music: Can Computers be Improvisers?' In Oxford Handbook of Critical Improvisation Studies, vol 2, ed Lewis G. and Piekut B. (Forthcoming)
  • Blackwell TM, Bown, O and Young M. 'Live Algorithms: Towards Autonomous Computer Improvisers', in d'Inverno M., McCormack, J. (eds) Computers and Creativity, Spring 2012, pp147-174.

Artificial Life and New Materialist Theory

Referring to the philosophies of New Materialism, specifically, Karen Barad, we argue that there is a need for a new ontology - one that positions ALife as a “lively process”. City University, Hong Kong. Jane Prophet City University, Hong Kong. School of Geography, Queen Mary, University of London

  • Prophet, Jane and Pritchard, Helen, 'Performative Apparatus and Diffractive Practices: an account of Artificial Life art', Artificial Life - Quarterly, Vol. 21, No. 3, p1-13, ISSN 1064-5462, 2015 (In Manuscript)

AI, robotics & cognition

What-If Machine

We aim to build a software system able to invent, evaluate and present fictional ideas such as stories, jokes, films, paintings and advertisements. WHIM website

AutoGraff

EPSRC-funded project on grafitti, perception, computing and robotics. AutoGraff website

Computational Creativity Theory

This project aims to bring more formality to the assessment of computational creativity (and our perception of it). We challenge foundational notions such as the usage of Turing-style tests, raise philosophical issues and propose new formalisms. Led by Simon Colton with funding from EPSRC. Computational Creativity Theory website

Book by Ephraim Nissan

Computer Applications for Handling Legal Evidence, Police Investigation and Case Argumentation provides an overview of computer techniques and tools ― especially from artificial intelligence ― for handling legal evidence, police intelligence, crime analysis or detection, and forensic testing. Free preview website

PROSECCO

A 3-year EU coordination action to promote the scientific exploration of computational creativity. A collaboration between University College Dublin, Universidade de Coimbra, Universidad Complutense de Madrid; Queen Mary, University of London, Institut Josef Stefan, Ljubljana and University of Helsinki. PROSECCO website

The Painting Fool

The Painting Fool A computer program that wishes to be taken seriously as a creative artist in its own right. 

Tungsten Centre for Intelligent Data Analytics

Using artificial intelligence to develop software for financial analytics Tungsten Network.

Machine Learning as Design Tool

By enabling people to instantiate designs of new musical instruments, game controllers, character animations, and other systems from data, rather than by writing code, we make design more efficient and accessible to more people, as well as enabling people to discover new design possibilities. Several research threads in the department link into this theme of making machine learning usable, creative tool. Rebecca Fiebrink, Marco Gillies, Atau Tanaka, Mick Grierson.

Swarm Intelligence

Using swarms to solve difficult problems. The current focus is on search in high dimensional space. Tim Blackwell's website

  • Blackwell T M 2011. 'A Study of Collapse in Bare Bones Particle Swarm Optimization'. IEEE Transactions on Evolutionary Computation, 16(3), pp. 354-372. ISSN 1089-778X
  • Antoniou P., Pitsillides A., Blackwell T. M. Engelbrecht, A. and Michael L. 'Congestion Control in Wireless Sensor Networks based on Bird Flocking Behaviour'. Computer Networks 57 (2013) 1167-1191, Elsevier

The Integration & Interaction of Multiple Mathematical Reasoning Processes

An EPSRC-funded portfolio of projects which develop the automation of mathematical reasoning processes for practical application. Dream Platform Grant website

Aikon 1+2

Art, perception, computing and robotics. Led by Frederic F. Leymarie, P. Tresset with funding from the Leverhulme Trust. Aikon website

 

Data and social computing

FoldSynth

Contact map mapping of protein structures. Frederic F. Leymarie, W.Latham, S.Todd, P.Todd Imperial College and Oxford University. 

Firefly: Product Fit Research Release

Firef.ly is a technology transfer project based around an app that uses a GPS trail to ‘stitch together’ the most important elements of a journey, creating a digital content map for sharing with others. User data is collected to help make reccomendations regarding potential places of interest. Working with InnovateUK and firef.ly Firefly website

Tungsten

Using artificial intelligence to develop software for financial analytics. Mark Bishop and John Howroyd working with Tungsten Network. Tungsten Network website

Scalable Indexing and Compression: Algorithms and Combinatorics

This project aims to develop the next generation of compressed data structures via a deeper understanding of the combinatorial, algorithmic and data structural tools currently involved.

Imperfect Data Integration and Optimal Querying

The project develops fuzzy based approaches to imperfect information fusion and optimal querying in data and knowledge bases. Daniel Stamate, Ida Pu. Data Science & Soft Computing Laboratory website

  • D. Stamate, I. Pu, 'Imperfect Information Fusion using Rules with Bilattice based Fixpoint Semantics'. Proceedings of the 14th International Conference on Information Processing and Management of Uncertainty in Knowledge-Based Systems, Springer-Verlag LNAI, 2012
  • D. Stamate, 'Quantitative Semantics for Uncertain Knowledge Bases'. Proceedings of the 14th International Conference on Information Processing and Management of Uncertainty in Knowledge-Based Systems, Springer-Verlag LNAI, 2012

Sentiment Analysis and Stock Market Trends Prediction

The project investigates and builds novel approaches to stock market forecasting by the mean of feeding in social-web expressed sentiment information." Daniel Stamate working with Frankfurt University of Applied Sciences. Data Science & Soft Computing Laboratory website

  • R. Olaniyan, D. Stamate, D. Logofatu, Social Web-Based Anxiety Index’s Predictive Information on S&P 500, Revisited. Proceedings of the 3rd International Symposium on Statistical Learning and Data Sciences (SLDS 2015), Springer LNAI, 2015

BioBlox

A multimedia interactive platform/game combining 3D and 2D visualisations of molecules. Frederic F. Leymarie, William Latham working with BBSRC Unity, Havok Intel, Swrve and Imperial College. BioBlox website

PRAISE: Practice and PeRformance Analysis Inspiring Social Education

A social network tool which aims to widen access to music education and make learning music more accessible and more social. EU-funded project led by Mark d’Inverno, Matthew Yee King, Marco Gillies. 

Counter-mapping the Smart City

An international seminar series questioning the inevitability of the top-down Smart City and researching alternative futures. AHRC-funded project (TBC) with Dan McQuillan, Living Maps and the Young Foundation. Counter-mapping website

Data Science books by Professor Fionn Murtagh

  • Statistical Learning and Data Science (Chapman and Hall, 2011)
  • Sparse Image and Signal Processing (Cambridge University Press, 2010)
  • Astronomical Image and Data Analysis (Springer, 2002)
  • Correspondence Analysis and Data Coding with Java and R (Chapman and Hall, 2005)
  • Image Processing and Data Analysis (Cambridge University Press,1998)
  • The Computer Journal 2012 (Oxford Journals, 2012)
  • Astronomical Image and Data Analysis, 2nd edition (Springer, 2006) Multiresolutions website

Multiresolutions website

Science for Change Kosovo

Community-driven citizen science with young people in Kosovo that combines digital sensors, scientific methods and critical pedagogy. Dan McQuillan working with the Czech government and FabLab Barcelona. 

Transforming Musicology

This project explores how emerging technologies for working with music as sound & score can transform the theory and practice of musicology. Christophe Rhodes. Transforming Musicology website

Epidemics with Mobility Traces

Large scale mobile phone data has proven to be useful for realistic epidemic simulations by considering the real movement, interactions, and communication patterns of a community. This work considers different sources of mobile phone sensed data as a basis for standard epidemiology model simulations for disease prediction and prevention. Katayoun Farrahi working with Nicta, Saint-Etienne.

  • K. Farrahi, R. Emonet, M. Cebrian Epidemic Contact Tracing via Communication Traces PLoS ONE 9(5): e95133. May 1, 2014. doi: 10.1371/journal.pone.0095133
  • K. Farrahi, R. Emonet, M. Cebrian 'Predicting a Community’s Flu Dynamics with Mobile Phone Data' in CSCW, Vancouver, Canada, March 2015

Steel Bank Common Lisp

A high performance open source Common Lisp compiler that provides an interactive environment including a debugger, a statistical profiler, a code coverage tool and other extensions. Christophe Rhodes. Steel Bank Common Lisp website

Centre for Doctoral Training in Intelligent Games and Game Intelligence

A four year EPSRC-funded PhD programme training the next generation of researchers in digital games research, in collaboration with York and Essex Universities and over 50 games companies. Atau Tanaka, Jeremy Gow, William Latham, Simon Colton. IGGI website

Machine Learning as Design Tool

By enabling people to instantiate designs of new musical instruments, game controllers, character animations, and other systems from data, rather than by writing code, we make design more efficient and accessible to more people, as well as enabling people to discover new design possibilities. Several research threads in the department link into this theme of making machine learning usable, creative tool. Rebecca Fiebrink, Marco Gillies, Atau Tanaka and Mick Grierson.

Andy T Genomics Project

LLVM Special Interest Group linked to the LLVM Conference. Andy Thomason working with 10 major companies and Kings College. LLVM website

Social Networks for Music Recommendation

This research focuses on contextual information which can describe a user or a user's behaviour to improve the performance of recommender systems. Katayoun Farrahi with JKU (Linz, Austria).

  • M. Schedl, D. Hauger, K. Farrahi, M. Tkalcic On the Influence of User Characteristics on Music Recommendation in ECIR, Vienna, Austria, March 2015
  • K. Farrahi, M. Schedl, A. Vall, D. Hauger, M. Tkalcic Impact of Listening Behavior on Music Recommendation in ISMIR, Taipei Taiwan, Oct 2014
  • M. Schedl, A. Vall, K. Farrahi User Geospatial Context for Music Recommendation in Microblogs in ACM Special Interest Group On Information Retrieval (SIGIR), Australia, July 2014

Expanding ring search algorithms

This project is to develop energy-efficient search algorithms for mobile Ad Hoc networks. Ida Pu with a Royal Society Travel Grant.

  • Ida Pu et al, 'Analytical Studies of Energy-Time Efficiency of Blocking Expanding Ring Search, Mathematics' in Computer Science 3(4): 443--456 (2010) ISSN: 1661-8270
  • Ida Pu et al, 'A framework for chase strategies in recent energy or time efficient route discovery protocols for MANETs', IEEE International Symposium on a World of Wireless, Mobile and Multimedia Networks (WoWMoM), 2011, ISBN: 978-1-4577-0352-2
  • Ida Pu et al, 'Enhanced Blocking Expanding Ring Search in Mobile Ad Hoc Networks', in proceedings of the Third International Conference on New Technologies, Mobility and Security (NTMS2009), pp451--455, 2009

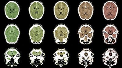
Brain imaging and function

This project is to develop MR brain imaging techniques to study brain characteristics and functions. Ida Pu with Royal Academy of Engineering Travel.

  • Ida Pu et al, 'Gray matter nulled and vascular space occupancy dependent fMRI response to visual stimulation during hypoxic hypoxia', NeuroImage 59(4): 3450-3456 (2012)
  • Ida Pu et al, 'Quantification of venous vessel size in human brain in response to hypercapnia and hyperoxia using magnetic resonance imaging', Magnetic Resonance in Medicine Volume 69, Issue 6, pages 1541–1552, June 2013
  • Ida Pu et al, 'Efficient algorithms for noise propagation in diffusion tensor imaging', in London Algorithmics 2008: Theory and Practice: (Texts in Algorithmics) eds. J Chan, J K Daykin, M S Rahman, 1 June 2009, ISBN: 978-1904987970